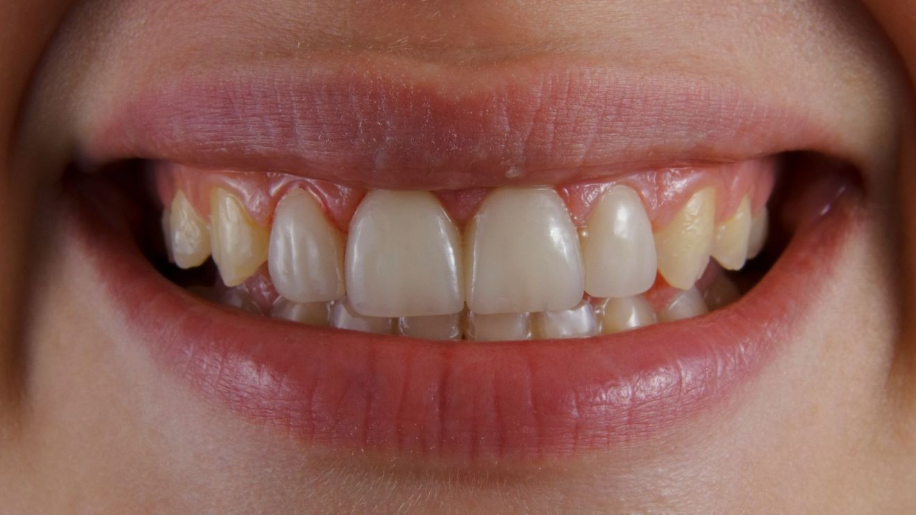
Όψεις Ρητίνης (Bonding)
Το χαμόγελο μας έχει ιδιαίτερη αξία στις καθημερινές μας επαφές. Η καλή διάθεση και η θετική ψυχολογία είναι άρρηκτα συνδεδεμένες με ένα όμορφο χαμόγελο. Πολλές φορές, η αισθητική εμφάνιση των προσθίων κυρίως δοντιών δεν εμφανίζει την εικόνα που θα επιθυμούσαμε.
Οι όψεις ρητίνης ( bonding ) είναι μια σχετικά απλή μέθοδος αισθητικής αποκατάστασης. Το υλικό που χρησιμοποιείται είναι ειδική σύνθετη ρητίνη αισθητικών αποκαταστάσεων.
– Πολλά και ανομοιόμορφα σφραγίσματα
– Αραιά δόντια, όταν η ορθοδοντική δεν είναι επιθυμητή από τον ασθενή
– Δόντια με χρωστικές, στα οποία η λεύκανση δεν είναι αποτελεσματική
– Σπασίματα των δοντιών
– Δόντια μικρά σε μέγεθος
– Δόντια στραβά, όταν η ορθοδοντική δεν είναι επιθυμητή από τον ασθενή

