Skip to main content

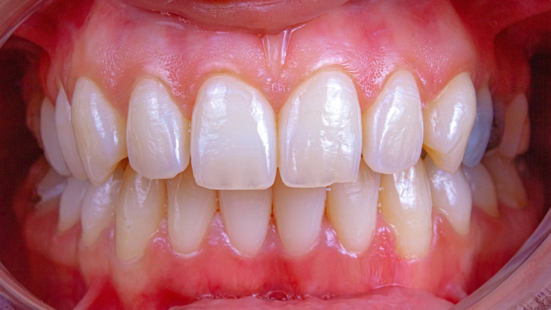
Θεραπευτική

Ελάτε να συζητήσουμε τις ανάγκες σας και να σας βοηθήσουμε να αποκτήσετε το χαμόγελο που ονειρεύεστε!


© 2025
Georgalas Dental. All rights reserved.