Skip to main content

Ουλίτιδα

Τι είναι η ουλίτιδα και που οφείλεται

Ουλίτιδα είναι μία φλεγμονώδης νόσος των ούλων, η οποία οφείλεται κατα κύριο λόγο στην ύπαρξη οδοντικής μικροβιακής πλάκας – τρυγίας(πέτρα). Μικροβιακά ένζυμα και τοξικοί παράγοντες που εκλύονται από τα μικρόβια της οδοντικής πλάκας ευθύνονται για τη φλεγμονώδη αντίδραση των ούλων.

Υπάρχουν και άλλοι παράγοντες, που δρουν συνεργικά με την οδοντική μικροβιακή πλάκα και συνδράμουν στην εμφάνιση της ουλίτιδας όπως:

– Οι γεννητικές ορμόνες, των οποίων η ισορροπία μπορεί να διαταραχθεί κατά την εφηβεία,κατά τη διάρκεια του κύκλου της γυναίκας και κατά την κύηση (ουλίτιδα της κυήσεως).

– Η λήψη ορισμένων φαρμάκων αλλά και αντισυλληπτικών.

– Οι διατροφικές διαταραχές.

Ποιά συμπτώματα εμφανίζει η ουλίτιδα;

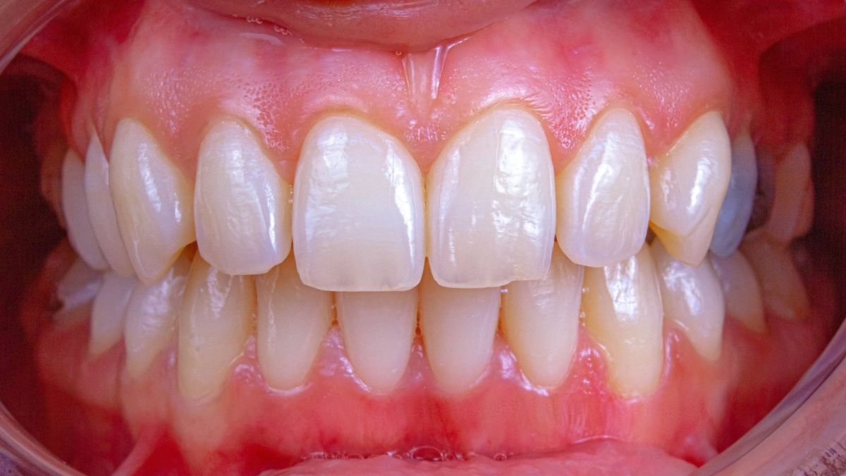
Κύριο σύμπτωμα της ουλίτιδας είναι η ύπαρξη αιμορραγίας των ούλων. Ανάλογα του βαθμού εξέλιξης της νόσου, η αιμορραγία μπορεί να εμφανίζεται κατά το βούρτσισμα των δοντιών, κατά το δάγκωμα σκληρών τροφών όπως τα μήλα ή ακόμα και αυτόματα (προχωρημένο στάδιο).

Η διόγκωση των ούλων είναι ένα ακόμη σύμπτωμα της ουλίτιδας, που συνήθως εμφανίζεται στα μέσα και τα προχωρημένα στάδια της νόσου.

Τέλος, η αλλαγή χρώματος των ούλων από ανοιχτό ροζ σε βαθύ κόκκινο, λόγω της διαστολής των αγγείων, είναι ένα ακόμη σύμπτωμα της ουλίτιδας.

Θεραπεύεται η ουλίτιδα και γιατί αυτό είναι σημαντικό;

Η ουλίτιδα θεραπεύεται με τον καθαρισμό (αποτρύγωση) της οδοντικής πλάκας-τρυγίας από τα δόντια.

Η θεραπεία της ουλίτιδας είναι ιδιαίτερα σημαντική, καθώς η παραμονή της οδοντικής πλάκας – τρυγίας θα εντείνει το βαθμό της φλεγμονής. Αποτέλεσμα αυτού θα είναι η μετεξέλιξη της νόσου της ουλίτιδας στη νόσο της περιοδοντίτιδας.


© 2025
Georgalas Dental. All rights reserved.